Умайн гаднах жирэмслэлт гэдэг нь үр тогтсон эвсэл эс умайн хөндийгөөс өөр газар бэхлэгдэхийг умайн гадуурх жирэмсэн гэж нэрлэнэ. Өөрөөр хэлбэл, эхлээд өндгөвчнөөс эм бэлгийн эс гадагшилж эр бэлгийн эстэй нийлж эвсэл үр үүснэ. Ингээд үр тогтсон эвсэл үр умайн гуурсан хоолойгоор явсаар умайн хөндийд орж аль нэг хананд нь бэхлэгддэг.
Гэтэл энэ хэвийн үйл явц бага аарцгийн эрхтний халдвар, үрэвсэлт өвчнөөр өвдсөний дараа үрийн хоолойн сорвижил, битүүрэл үүссэний улмаас умайн гадуурх жирэмсэн болон үргүйдэл үүсэх магадлал 12.8% байдаг ба 2 дахь удаа халдвар авбал 35%, 3 удаа халдвар авбал 75%-ийн эрсдэлтэй байдаг байна.
Умайн гадуурх жирэмсэн нь умайн гуурсан хоолойнд-95-96%
• Өргөн хэсэгт 70-78%
• Нарийн хэсэгт-12%
• Умайн гуурсны төгсгөл хэсэгт-5%
• Умайн буланд-2-3%
• Хэвлийд-1% (0.1-0.3%)
• Өндгөвчинд-3-4% (0.5%)
• Умайн хүзүүнд-1% (0.1-0.3%),
• Кесар мэс заслын сорвин дээр – 1-3% -тай тохиолдоно.
УМАЙН ГАДНАХ ЖИРЭМСЛЭЛТ ҮҮСЭХЭД НӨЛӨӨЛӨХ ГОЛ ЭРСДЭЛТ ХҮЧИН ЗҮЙЛС
• Аарцгийн хөндийн үрэвсэлт өвчнөөр өмнө нь өвдөж байсан
• Хламид, гоноррей зэрэг бэлгийн замын халдварт өвчнөөр өвдөж байсан
• Өмнө нь умайн гадуур жирэмслэж байсан
• Үргүйдлийн улмаас гуурсан хоолойдоо мэс ажилбар хийлгэж байсан
• Дурангаар жирэмслэхээс сэргийлж үр дамжуулах гуурсан хоолой боолгосон
• Умайн хөндийд жирэмслэлтээс хамгаалах ерөндөгтэй байсан
• Ерөндөгтэй байхдаа жирэмслэсэн
• Удаан хугацааны үргүйдэл
• Олон хавьтагчтай эмэгтэйчүүд
• Тамхи татдаг
• Бэлгийн харьцааны дараа болон байнга үтрээний угаалга хийдэг г.м бусад хүчин зүйлүүд нөлөөлнө.
УМАЙН ГАДНАХ ЖИРЭМСЛЭЛТИЙН ҮЕД ЯМАР ШИНЖ ТЭМДЭГ ИЛЭРДЭГ ВЭ
Умайн гаднах жирэмслэлт ихэвчлэн жирэмсний 6-7 дах долоо хоногт оношлогддог боловч өндөр мэдрэмж бүхий хэт авиан шинжилгээний тусламжтай жирэмсний 4-5 долоо хоногтой оношлох боломжтой. Зарим үед ямар нэг шинж тэмдэг илрэлгүйгээр жирэмсний эхний гурван сарын хугацаанд хэт авиан шинжилгээгээр оношлогдох нь бий.
Умайн гаднах жирэмслэлтийн шинж тэмдэгүүд хүн бүрд өөрөөр илэрдэг бөгөөд умайн гаднах жирэмслэлт задарсан тохиолдолд эмэгтэйчүүдийн эмчийн яаралтай тусламж хэрэгтэй болдог. Өндөр хөгжилтэй орнуудад умайн гаднах жирэмсэнг 4-6 долоо хоногтойд оношлон мэс заслын бус, эмийн эмчилгээгээр өсөлтийг зогсоон эмчилж байна. Умайн гаднах жирэмслэлт гэрийн нөхцөлд хэрэглэдэг жирэмснийг илрүүлдэг сорилоор илрэхгүй байж болох бөгөөд хэрэв эргэлзээтэй байвал сорилын хариу эерэг гарахыг хүлээлгүй эмчид үзүүлээрэй. Умайн гаднах жирэмслэлтийг аль болох эрт хугацаанд илрүүлэх нь тухайн эмэгтэйн эрүүл мэндэд чухал ач холбогдолтой.
Хэрэв танд дараах шинж тэмдгүүд илэрвэл мэргэжлийн эмчид даруй хандаарай. Үүнд:
• Хэвлий болон бөгс рүү тулж өвдөх. Өвдөлт гэнэт эхлэх, даамжрах хандлагатай байх зэрэг онцлог шинжүүдээс гадна хүчний хувьд янз бүр байж болно. Зарим үед өвдөлт хэвлийн нэг талд байрлаж болох бөгөөд дотор муухайрах огиулж бөөлжих шинж тэмдэгүүд дагалдан гарч болно.
• Үтрээнээс хүрэн бор өнгийн цуслаг ялгадас бага хэмжээгээр үргэлжлэн гарч болно.
• Хөдлөх , ханиалгах, гэдэсний гүрвэлзэх хөдөлгөөний үед өвдөлт нэмэгдэнэ.
• Эгэм, мөр далруу өвдөлт дамжих. Хэвлийн хөндийд цус алдаж байгаа үед ялангуяа хэвтэхэд мөр, эгэм далруу өвдөлт дамждаг. Энэ нь хэвлийн хөндийд сул байгаа цус өрцний мэдрэлийг цочроосонтой холбоотой үүсдэг.
• Гуурсан хоолой хагаран цус алдалт үүссэн үед толгой эргэх, нүд бүрэлзэх,арьс цайх, хүйтэн хөлс гарах, зүрхний цохилтын тоо олшрох зэрэг дайрлагын (шок)шинж тэмдэгүүд илэрч болно. Хэрэв эдгээр шинж тэмдэг илэрвэл эмнэлэгт даруй хэвтэх хэрэгтэй.
УМАЙН ГАДНАХ ЖИРЭМСЛЭЛТИЙН ОНОШЛОГОО
Умайн гаднах жирэмслэлтийг оношлох нь амаргүй. Хэрэв танд энэ хэлбэрийн жирэмслэлтийн шинж тэмдэгүүд илэрч байвал эмч дараах шинжилгээнүүдийг хийж онош тодруулах болно. Үүнд:
• Шээсэнд болон цусанд хүний цэлмэнгийн гонадотропин дааврын түвшинг тодорхойлно
• Хэрэв хэвийн жирэмсний үед байх хэмжээнээс бага байх болон өвдөлтийн шинж тэмдэг илрээгүй байгаа нөхцөлд хоёроос гурав хоногийн дараагаар шинжилгээг давтан хийдэг
• Дааврын түвшин энэ үед зохих хэмжээгээр нэмэгдээгүй бол умайн гаднах жирэмслэлт болон зулбалт байх магадлал өндөр байдаг
• Эмэгтэйчүүдийн дотуур үзлэг хийнэ. Үүгээр умайн эмзэглэл, арын хүнхрээний байдал болон дайвруудад үүсгэвэр байгаа эсэхийг тодруулна
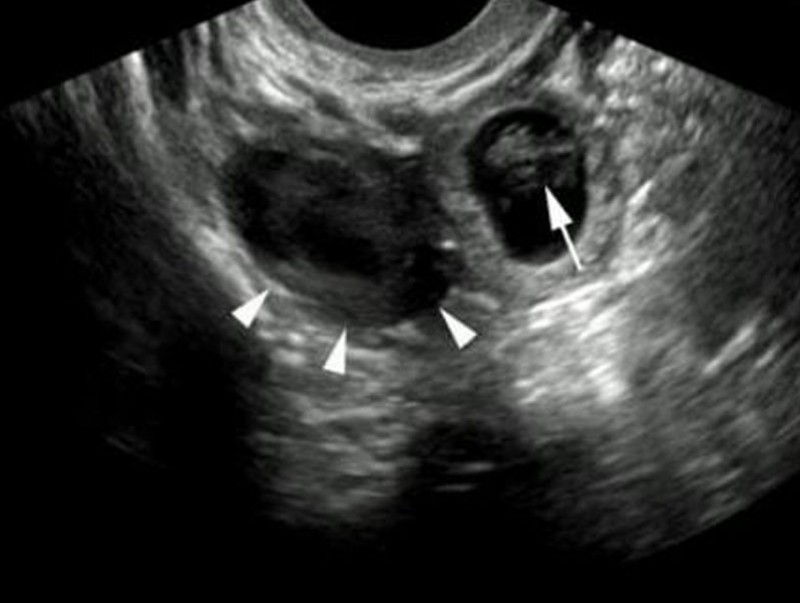
• Хэт авиан шинжилгээ. Хэрэв эмч хэв авиан шинжилгээгээр гуурсан хоолойд байгаа хөврөлийг илрүүлж чадвал умайн гаднах жирэмслэлт гэдэг нь тодорхой болно. Гэвч ихэнх тохиолдолд хөврөл эрт үедээ амьгүй болдог бөгөөд ийм үед хэт авиан шинжилгээнд илрэхгүй байж болдог. Харин үүний оронд гуурсан хоолой хөөж томорсон, хөврөлөөс үлдсэн эдийн хэсэг болон цус, бүлэн харагдаж магадгүй.
Жирэмсний сорил эерэг гараад харин хөврөл олдохгүй байвал умайн гаднах жирэмслэлт байж магадгүй гэж үздэг. Гэвч энэ шинж тэмдэг эрт үеийн зулбалтын үед гарч болдогийг санаарай. Өвдөлтийн шинж тэмдэг илрэхгүй байвал эмч дааврын шинжилгээ болон хэт авиан шинжилгээг онош батлагдан шинж тэмдэг тодорхой болтол давтан хийнэ.
УМАЙН ГАДНАХ ЖИРЭМСЛЭЛТИЙН ЭМЧИЛГЭЭ
Онош хэр батлагдсан, хөврөлийн хэмжээ хир зэрэг том байгаа зэргээс эмчилгээний арга хамаарна. Хэрэв онош батлагдсан хөврөлийн хэмжээ жижиг, цус алдалт үүсээгүй байгаа нөхцөлд жирэмсэлтийн өсөлтийг зогсоох эмэн эмчилгээ (метотрексат) хэрэглэдэг. Энэ эмийн бодисыг булчинд тарьж хэрэглэдэг бөгөөд цусны урсгалд шимэгдэн орж ихсийн эсийн өсөлтийг зогсоосноор жирэсмлэлтийг тасладаг.
Хэсэг хугацааны дараа хөврөл шимэгдэн алга болдог. Эмийн бодисын үйлчлэлтэй холбоотойгоор хэвлийн өвдөлт , дотор муухайрах, бөөлжих, суулгах зэрэг шинж тэмдэгүүд илэрч болно.
Метотрексат эмчилгээ хэрэглэх үед:
• Үйлчлэлд саад болох мультивитамин, фолийн хүчил агуулсан нэмэлт бүтээгдэхүүн
• Согтууруулах ундаа болон бэлгийн харьцаанаас зайлсхийх хэрэгтэй
• Энэ эмчилгээг хийлгэсний дараагаар цусанд цэлмэнгийн гонадотропины хэмжээг дахин үзэж жирэмслэлт зогссон эсэхийг тодруулдаг.
• Хэрэв метотрексат хэрэглэсний дараагаар хүчтэй өвдөлт болон дотуур цус алдалтын шинж тэмдэгүүд илэрвэл мэс заслын эмчилгээ хийлгэх хэрэгтэй болдог.
• Мөн та хөхүүл хүүхэдтэй эсвэл эрүүл мэндийн байдлаас болж энэ эмийн бодисыг хэрэглэх боломжгүй бол шууд мэс заслын эмчилгээг сонгох болно.
• Таны биеийн байдал тогтвортой, хөврөлийн хэмжээ жижиг байгаа нөхцөлд дурангийн мэс заслын аргыг сонгож болно.
• Харин дотуур цус алдалт үүссэн, хөврөлийн хэмжээ том байгаа тохиолдолд дурангийн мэс засал хийх боломжгүй бөгөөд хэвлийн хөндийн хагалгаа хийх шаардлага гарч ирнэ.
НЭГ УДАА УМАЙН ГАДНАХ ЖИРЭМСЛЭЛТ БОЛСНЫ ДАРАА АМЖИЛТТАЙ ЖИРЭМСЭЛЖ БОЛОХ УУ
Тиймээ. Умайн гаднах жирэмслэлт эрт үедээ оношлогдсон, умайн гуурсан хоолой ноцтой гэмтээгүй нөхцөлд дахин амжилттай жирэмслэж болно.
• Эсвэл нэг талын гуурсан хоолой гэмтсэн ч нөгөө талынх нь хэвийн байгаа тохиолдолд бас болно.
• Хэрэв жирэмсэн болсон байж магадгүй шинж илэрвэл эмчид үзүүлэн хэт авиан шинжилгээ болон дааврын хэмжээг нарийн хянах хэрэгтэй.
• Умайн гаднах жирэмслэлтийн дараа үрийн хоолой гэмтсэн жирэмсэн болох боломжгүй үед in vitro fertilization (IVF) буюу зохиомол үр шилжүүлэн суулгах аргыг хэрэглэж болно.
• Зохиомол үр суулгах эмчилгээний үед умайн гаднах жирэмсэн болон зулбалт болох нь олонтоо гэдгийг санаарай.
• Энэ нь эхнэр болон нөхрийн бэлгийн эсийг зохиомлоор нийлүүлэн хөврөл эс гарган авч эхийнх нь умайд шууд суулгаж өгдөг арга юм.
УМАЙН ГАДНАХ ЖИРЭМСЛЭЛТ ДАХИЖ БОЛОХ УУ
Ерөнхийдөө эхний жирэмслэлтийн шалтгаан болон эмчилгээнээс хамаарч дахин умайн гаднах жирэмслэлт болох магадлал 10-15% байдаг байна. Энэ утгаараа дахин хэвийн жирэмслэлт болох магадлал маш өндөр буюу 85-90% гэсэн үг. Хэдий тийм боловч түрүүчийн умайн гаднах жирэмслэлтийн шалтгаан үрэвсэлт өвчин, үрийн хоолой боолгосон зэрэг байсан бол нөгөө талын гуурсан хоолой гэмтсэн байх магадлал өндөр байдаг. Ийм үед үр тогтох магадлал багасч дахин умайн гаднах жирэмслэлт болох эрсдэл нэмэгддэг.
ТАНД ӨГӨХ ЧУХАЛ ЗӨВЛӨХ НЬ:
• Сарын тэмдэг таны эрүүл мэндийн толь төдийгүй таны жирэмсэнг эрт оношлох гол хэрэглүүр гэдгийг сана
• Сарын тэмдэг хоригдонгуут та жирэмсэн болсон гэж бодож эмчид хандаарай
• Жирэмсэнг тодорхойлох сорилыг та эзэмшиж мэдлэгтэй болох хэрэгтэй
• Жирэмсний 6 долоо хоног хүртэл хугацаанд жирэмсний өсөлтийг зогсоох эмчилгээ байдгийг санаарай
• Хүндэрсэн үед мэс заслын эмчилгээ хийх хүртэл танд боломж байгаа гэдгийг анхаараарай
НӨАГ-ын Эх барих эмэгтэйчүүдийн эмч, Клиникийн профессор, Дурангийн мэс засалч,
Тэргүүлэх зэргийн эмч Б.Дашдэмбэрэл
| Умайн гаднах жирэмслэлт гэж юу вэ | ||
| Үзсэн: 6852 | Mongolian National Broadcaster |

Үндэсний телевиз
Сэтгэгдэл бичих:
АНХААРУУЛГА: Уншигчдын бичсэн сэтгэгдэлд MNB.mn хариуцлага хүлээхгүй болно. ТА сэтгэгдэл бичихдээ хууль зүйн болон ёс суртахууны хэм хэмжээг хүндэтгэнэ үү. Хэм хэмжээг зөрчсөн сэтгэгдэлийг админ устгах эрхтэй. Сэтгэгдэлтэй холбоотой санал гомдолыг 70127055 утсаар хүлээн авна.